What’s next?

Presentation

Triage note: “Patient is here [pregnant] about 13 weeks. Started having cramping and [vaginal] bleeding yesterday.”

A previously healthy, 21-year-old G1P0 female presents to the emergency department for vaginal bleeding and cramping. She is at approximately 13 weeks gestational age. The patient endorses vaginal bleeding since yesterday, which initially required her to change a pad every other hour. Since then, her vaginal bleeding has slowed slightly. She has also had an improvement in her abdominal cramping since yesterday. She does endorse passing one small clot and feeling a little lightheaded this morning. She had her first OB ultrasound one week ago, which confirmed a single live intrauterine pregnancy and noted no abnormalities. The patient denies discharge, abdominal pain, sexual intercourse within the last 24 hours, prior ectopic pregnancy, fertility treatments or history of STDs. Also denies smoking, fevers, nausea, vomiting, diarrhea, dysuria.

Initial Vitals: T 37.3 C, BP 121/78, HR 92, RR 16, O2 sat 99% on RA.

On exam, the patient is awake and alert, answering questions appropriately, not in acute distress. She has a soft, non-distended, non-tender abdomen without guarding. Her cardiopulmonary exam was normal, without abnormal heart or lung sounds. The rest of her physical exam was unremarkable; pelvic exam was not performed.

Workup/ED Course

CBC with diff demonstrated a WBC of 11.7 without neutrophilia. Hgb and platelets normal. UA yellow and clear, without glucose, ketones, blood, protein, nitrites, leukocyte esterase. Blood type O+. HCG 75,217.

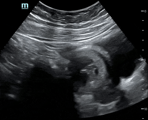
A focused bedside ultrasound was also performed:


Outcome

The patient was diagnosed with an intrauterine pregnancy with subchorionic hemorrhage. Given her normal vital signs and stable bleeding, she was discharged home with return precautions and recommendations for OBGYN follow up.

Takeaway Points

Many paitents have not heard of the diagnosis of subchorionic hemmorhage, unlike ectopic pregnancy or “miscarriage” [spontaneous abortion]. Additionally, patients may be concerned by the term “hemorrhage” once the diagnosis is described. Answering the question “what’s next?” is often the most difficult part of the encounter, and special care should be taken during the discussion.

Subchorionic hemorrhage/hematoma is defined as bleeding beneath the chorion membranes which surround the embryo. According a meta-analysis performed by Tuuli, et al. in 2011, of 1735 women with subhorionic hematoma, “the number needed to harm was 11 for spontaneous abortion and 103 for stillbirth, meaning one extra spontaneous abortion is estimated to occur for every 11 women with subchorionic hematoma diagnosed and one extra stillbirth occurs for every 103 women with subchorionic hematoma diagnosed.” Rates of spontaneous abortion were also increased at 17.6%, compared to 8.9% without subchorionic hematoma.

Some patients may be comforted by knowing more details about the increased risk of their pregnancy, and some may not. Patients should be informed that their pregnancy is at a higher risk for spontaneous abortion and should be asked if they would like to know further details. All patients should be recommended for OBGYN follow-up. If patients are Rh negative, administration of Rho(D) immune globulin is indicated to prevent RhD isoimmunization.

References: Tuuli MG, Norman SM, Odibo AO, Macones GA, Cahill AG. Perinatal outcomes in women with subchorionic hematoma: a systematic review and meta-analysis. Obstet Gynecol. 2011 May;117(5):1205-1212. doi: 10.1097/AOG.0b013e31821568de. PMID: 21508763.

Special thanks to Dr. Endres-shafer and Dr. Williams who contributed to this interesting case!

 

Have a cool case that you want to share? Please email thomas.rauser@uhsinc.com or scan the QR codes in the conference room or TVH ED.

Previous
Previous

Above and below…

Next
Next

“Ambulating with a cane…”